Avoid a Trip to the Emergency Vet: Your Pet’s Summer Safety Checklist
The Australian summer is made for sunshine, barbecues, and long days outdoors with your pets. Let’s be honest—it’s been a long year, and we all...
2 min read
VetLand Hospital & Emergency
Oct 13, 2025 7:15:01 PM
When Bonnie the Pug first arrived at Vetland Hospital & Emergency, things seemed reasonably routine: a pug with a urinary tract infection.
But as we started to dig deeper, this wasn’t Bonnie’s first rodeo; she’d be suffering from repeated urinary tract infections. These persistent infections were painful, complex, and had proved difficult to treat.
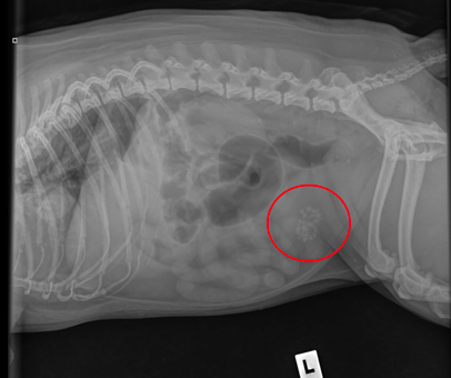
Diagnostic imaging discovered that Bonnie had a cluster of bladder stones. This was a clear sign that her infections had been ongoing and unresponsive to typical treatments.
That’s when we dug deeper — quite literally.
It turned out the root of Bonnie’s chronic infections wasn’t just in her bladder, but in her anatomy.
Bonnie had an excessive skin fold covering her vulva. Every time she urinated, a small amount of urine would get trapped in those folds, creating the perfect warm, moist environment for bacteria to flourish.
These bacteria would then travel upward into the bladder, leading to chronic UTIs and eventually, the formation of painful stones. This condition, known in veterinary medicine as perivulvar dermatitis with recurrent UTI due to vulvar hooding.
It is more common in certain breeds — especially pugs and other brachycephalics. And in Bonnie’s case, it was severe enough to warrant a surgical solution.

Attached are Bonnie’s X-rays, which show a cluster of stones in her bladder—the
reason she was brought in. These were successfully removed through surgery.
To break this painful cycle, Bonnie underwent reconstructive plastic surgery — a procedure we affectionately call a “nip tuck”. The goal was to remove the excess vulvar skin folds, allowing better hygiene, improved air flow, and a clean exit path for urine.
It’s not just a cosmetic fix — this procedure was a game-changer for Bonnie’s health.
By removing the root anatomical cause of her infections, we gave her bladder the chance to heal, removed the stones, and prevented future infections from taking hold.
Bonnie’s recovery was nothing short of inspiring. Her post-op x-rays show a bladder free from stones. Her revisits confirmed what we hoped — no more signs of infection.
And best of all, Bonnie’s comfort, energy, and quality of life have completely turned around.
We’ve even documented her journey with photos and a video that capture just how far she’s come — from struggling pug to vibrant, wagging-tailed superstar.

Bonnie’s case is more than a one-off. It’s a reminder to all of us — as vets and pet families — that recurrent UTIs are often a symptom, not the full story.
They can signal:
In cases like Bonnie’s, antibiotics alone aren’t enough. Surgical intervention may be the key to breaking the cycle and giving pets a life free of pain and infection.
If your dog is experiencing frequent UTIs or seems uncomfortable during urination, we’re here to help. Sometimes, the solution is more than medicine — it’s looking deeper, listening closely, and creating a care plan tailored to your dog’s unique needs.
Let Bonnie’s story be a reminder that healing is possible — and sometimes, it comes with a little surgical magic.
Reach out to Vetland Hospital & Emergency if you’re worried about chronic infections, bladder stones, or anything that just doesn’t seem quite right.
The Australian summer is made for sunshine, barbecues, and long days outdoors with your pets. Let’s be honest—it’s been a long year, and we all...
A Lifelong Dream Come True Ever since she was four, Dr. Holly Howard Fegan knew she wanted to be a vet. From guinea pigs and snakes to terrapins, Dr....
Hearing that your pet has a heart murmur can sound scary.Having said that, did you know that heart murmurs are incredibly common in both dogs and...